[ad_1]
Here I’m with Henry, the Best Dog within the Universe. His favourite factor in lifestyles, his complete reason why for dwelling (but even so bringing best pleasure to all the ones he meets) is operating off-leash via a desert the place he can chase deer and sniff all of the smells.

The yr he became 8, we spotted Henry limping after a couple of superb runs, however he generally recovered after a couple of days, and we chalked up it as much as stiffness and soreness. Until, sooner or later, we learned his gimpy gait used to be now not bettering.
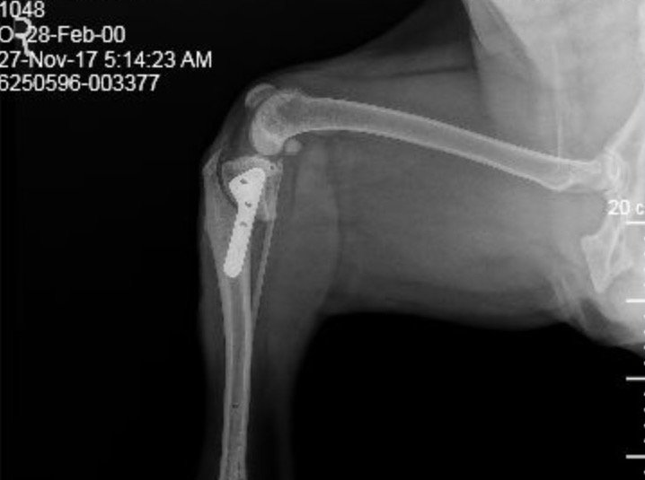
X-ray of Henry’s knee post-surgery
Our vet informed us Henry had partly torn his ACL and will require TPLO (Tibial-Plateau-Leveling Osteotomy) surgical procedure, during which a human physician would chop open our canine’s leg, then lower via Dear Sweet Perfect Henry’s tibia (with a noticed!) and reattach the bone with a plate, growing a brand new joint that doesn’t even want an ACL. (This web site provides a extra thorough and clinical clarification, despite the fact that it curiously glosses over the bone-sawing element.)
Our vet looks as if Julianne Moore, and a number of other years in the past she walked us gently via an overly unhappy canine passing, so we utterly believe her. And but, listening to this information of what Henry may well be in for, we introduced straight away into the seven phases of grief:
Shock & Denial: He’ll recuperate if we give him time. Maybe this will heal by itself. Hey, everybody on Facebook, has this took place to you? How did you inform your vet to shove it after they gave you the scoop?
Pain & Guilt: HENRY?! [Teary eyes.] Running is his truest love, his largest pleasure. What if we let him run TOO a lot? Maybe he must had been operating on softer surfaces! What have we completed to him?!
We should give Henry the bionic leg he merits. And all of the peanut butter he needs perpetually.
Anger & Bargaining: Who the $%&# does that vet suppose she is, telling us they may be able to lower open our canine and stroll away with massive chunks of our financial savings?
Depression, Reflection, Loneliness: Well, he’s now not getting higher. What if he by no means runs once more? What if he loses his true objective in lifestyles? What in the event that they break our canine? What if our canine is mortal?!?! [Uncontrollable weeping.]
The Upward Turn, adopted via Reconstruction & Working Through, adopted via Acceptance & Hope: They say he’s going to run once more. Some of the ones Facebook feedback had been in reality useful and reassuring… Their canine rebounded, and folks we all know say they made an ideal resolution. And, admittedly, Julianne Moore is an angel visiting earth within the type of a veterinarian. We can do that. We should give Henry the bionic leg he merits. And all of the peanut butter he needs perpetually.
Within a couple of week or two, we settled on a surgical veterinary outfit (recommended via our Julianne Moore) that used to be now not board-certified (and subsequently $2,000 inexpensive), however had carried out many a hit TPLO surgical procedures, and boasted a powerful, pleasant recognition. They may just additionally carry out the surgical procedure at a worth lets swallow.
So, at the appointed date, we put Henry within the automotive, riddled with guilt about what would quickly occur to the Best Dog within the Universe, introduced him via the ones fateful doorways, tears in our eyes, after which waited till they known as us later that afternoon: Henry made it. He did nice. Yes, we concede he’s the Best Dog within the Universe.
Henry straight away after surgical procedure, in a position to trip house.
I used to be deeply excited by how we may be able to set up an 85-pound canine with best 3 operating limbs and a lot of ache meds coursing via his veins. Could we assist him stand up, cross to the toilet? What if he stepped on his leg bizarre and tousled the restore? What if he licked at his sutures within the fleeting second his cone got here off for rest room time? What if we couldn’t get the meds down?
We knew we needed to get this proper, so we purchased the advised provides (basically a harness to assist elevate him from the highest). We learn each phrase at the handouts the vet gave us. We watched all of the YouTube movies about getting your canine to swallow tablets, getting your canine out and in of the crate safely, serving to your canine out of doors to potty, ensuring our 2d canine (who may be an implausible canine within the universe) used to be safely out of the best way when Henry got here out of the crate to behavior his trade.
The care sheet we took house after surgical procedure & our first makes an attempt to organize for nursing accountability.
We designed a methodical gadget for managing Henry’s medicines—antibiotics, ache meds, anti-inflammatories. First, a spreadsheet, and later a chain of little cups stuffed with the correct tablets and categorized with the suitable time of day. Luckily, Henry’s dad and I’ve reverse paintings schedules, so one in every of us used to be typically house. But we would have liked the program to verify we each knew the place Henry used to be in his med cycle.
The first few weeks had been tough. It’s tough to look your canine in ache, and it’s worrisome to suppose you’re at the verge of doing one thing extraordinarily incorrect. Henry regarded perplexed and betrayed: Why did you do that to me?! I believed you liked me!
Henry’s first pitiful days after surgical procedure
A couple of days in, we had to shop for Henry an enormous crate—a veritable canine condo in the midst of our lounge—so he may just flip round whilst dressed in the Cone of Shame. But a minimum of I may just climb within to provide him a bit of convenience and assist him really feel much less remoted.
Henry proved himself an excellent affected person. He briefly realized the regimen, and in all probability the worst phase used to be listening to him cry at night time as a result of he needed to keep in his crate as a substitute of drowsing on the foot of the mattress.
But we caught with the protocol. Soon, Henry may just take quick, three-legged rehab walks in entrance of the home, then down the road, hanging weight on his therapeutic knee. We additionally felt neatly supported via the brand new clinical arm of the Henry Fan Club. Our vets incorporated of their pricing a chain of follow-up visits, drug refills, X-ray tests, and contact consults, even all through off-hours.

It took a complete 100 days for Henry to get absolutely again on his ft. The first month or two of restoration calls for 24-hour crate time, excluding for rest room breaks. But within the 3rd month, Henry used to be in a position to reside out of doors the crate—if somebody used to be house to oversee—however no leaping, operating, hopping on furnishings. Gradually, his freedom larger.
It took a complete 100 days for Henry to get absolutely again on his ft.
The Second ACL Tear
Unfortunately, round Day 115, Henry tore the ACL in his different leg and went via this entire rigamarole a 2d time. His preliminary days all through Round 2 had been slightly more difficult—he stored wetting the mattress in his crate, which made his harness rainy, excluding we couldn’t take away the harness, and one human needed to rush to switch bedding whilst Henry used to be out for a pee with the opposite human. And then it might occur once more.
We consider those had been protest pees, Henry’s method of claiming, Are you #@$%ing kidding me?! AGAIN?! I relied on you!!! Am I now not THE BEST DOG IN THE UNIVERSE?!
We went via a number of bargain beds within the first ten days or so. But Henry stabilized in a while in a while, and his restoration persevered and we had been, via that time, overall professionals.
Henry again on his ft and supremely satisfied
Today, he stays the Best Dog within the Universe with two bionic legs. Given his age, we’re wary about letting him run freely off-leash for lengthy walks as he used to, basically as a result of we fear he’ll see a deer, get started sprinting, after which come house limpy once more. But we do let him unfastened to run right here and there.
What to Do if Your Dog Tears Their ACL
Now, if somebody poses that very same determined query on Facebook, I’d say this.
- Find an ideal surgeon you believe, take a look at their file, and solicit suggestions from pals whose canine have skilled a a hit surgical procedure. If you make a decision to move with a surgeon who isn’t board licensed, do your homework first!
- Schedule the surgical procedure for a time when you’ll be able to spend extra time at house for roughly a two-week length.
- If you’ll be able to, enlist a pal that will help you out (it’s certainly more straightforward with a sidekick, in particular when you have a bigger canine). A relied on puppy sitter who is aware of the right way to ship meds may also be a lifesaver.
- Educate your self up to conceivable previously, and decide to the regimented care your canine wishes all through restoration.
The TPLO process used to be seen as radical when it used to be presented just about two decades in the past, however nowadays it’s broadly authorised because the sanest solution to treating a canine with a torn ACL. In Henry’s case—and for lots of different canine—it used to be definitely worth the time, effort, cash, and painstaking care. Because now the Best Dog within the Universe can do the object he loves the very maximum. May he reside lengthy (FOREVER) and prosper!
[ad_2]